
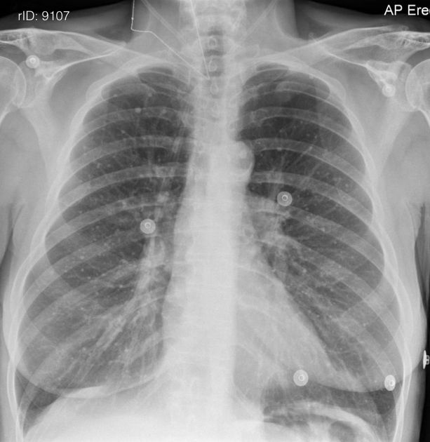
결핵(Tuberculosis, TB)은 역사를 거슬러 올라 고대부터 인류를 괴롭힌 전염병 중 하나입니다. 이 병은 Mycobacterium tuberculosis라는 세균에 의해 발생하며, 주로 폐에 영향을 주지만 다른 장기에도 영향을 미칠 수 있습니다. 결핵은 그 특유의 증상과 전파 방식으로 많은 이들에게 영향을 미치며, 빈곤층과 면역 저하 환경에서 특히 심각한 문제로 대두되고 있습니다.
인류는 결핵과의 전쟁을 벌이는 동안 의학과 과학의 발전으로 이 병을 효과적으로 다루기 위한 방법을 개발해 왔습니다. 하지만 아직도 결핵은 세계적으로 많은 사람에게 진단되며, 내성이나 약물 부작용과 같은 문제로 치료가 어려워질 때도 있습니다. 또한 결핵은 사회적인 영향과 경제적인 부담을 초래하는 병으로, 이에 대한 대응이 중요한 과제로 남아있습니다.
이 글에서는 결핵의 원인, 증상, 전파 방식, 치료 방법 및 예방을 중심으로 다루어보고자 합니다. 결핵의 역사와 현재 상황을 이해하며, 이 병과의 전쟁을 향한 의학적인 노력과 사회적인 대응의 중요성을 알아보도록 하겠습니다.
결핵(Tuberculosis, TB)은 Mycobacterium tuberculosis라는 박테리아에 의해 발생하는 전염병입니다. 결핵은 주로 폐에 영향을 주지만, 다른 부위에도 영향을 미칠 수 있습니다. 아래는 결핵의 주요 증상에 대한 설명입니다.
1. 만성 기침: 가장 흔한 결핵 증상 중 하나로, 기침이 지속되고 악화할 수 있습니다. 기침은 가끔 피를 함께 물어내기도 합니다.
2. 가래: 기침과 함께 노란색 또는 녹색의 가래가 나올 수 있습니다.
3. 흉통: 폐에 염증이 생기면 가슴 통증이 발생할 수 있습니다. 흉통은 종종 깊은숨을 들이마실 때 더 심해질 수 있습니다.
4. 체중 감소: 결핵 환자들은 체중이 감소하고 쇠약해질 수 있습니다. 이는 식욕 부진과 대사 증가로 인해 발생할 수 있습니다.
5. 발열과 땀: 결핵으로 인한 염증으로 인해 발열이나 밤에 강한 땀이 나는 경우가 있습니다.
6. 피로감과 무기력함: 결핵은 환자의 에너지 수준을 낮출 수 있으며, 일상적인 활동에 대한 흥미를 상실시킬 수 있습니다.
7. 호흡 곤란: 폐에 염증이 심해지면 호흡이 곤란해질 수 있습니다.
8. 기타 부위의 결핵: 폐 이외의 부위에도 결핵이 생길 수 있으며, 이에 따라 다양한 증상이 나타날 수 있습니다. 예를 들어 뼈, 뇌, 콩팥 등 다른 장기에 영향을 줄 수 있습니다.
결핵은 초기에는 증상이 미미할 수 있으나, 지속되는 기침, 체중 감소 등의 증상이 나타나면 의료 전문가와 상담하여 검진과 치료를 받아야 합니다. 빠른 치료는 결핵의 퍼지는 것을 방지하고 합병증을 줄이는 데 도움이 됩니다.

결핵(Tuberculosis, TB)은 Mycobacterium tuberculosis라는 세균에 의해 발생하는 전염병입니다. 이 박테리아는 공기를 통해 전파되며, 주로 감염된 사람이 기침이나 재채기를 통해 나오는 미세한 비말을 통해 다른 사람에게 전파됩니다. 다만, 모든 감염자가 환자가 되지는 않습니다. 일부 사람들은 박테리아에 노출되어도 결핵에 걸리지 않을 수 있습니다.
이러한 세균 감염은 대개 폐에서 발생하지만, 다른 부위에도 영향을 줄 수 있습니다. 결핵은 대개 폐에 집중되어 "폐결핵"이라고도 불리며, 폐 이외의 부위에 생기는 경우도 있습니다. 박테리아가 폐 이외의 장기에 감염되는 경우는 "부속기관 결핵"이라고도 불립니다.
결핵 세균은 강한 내구성을 가지고 있어 외부에서 오랫동안 생존할 수 있습니다. 감염된 사람이 기침이나 재채기할 때, 공기 중으로 떠오른 미세한 비말에 포함된 세균은 다른 사람이 들이마심으로써 전파됩니다. 그러나 짧은 접촉으로는 감염될 가능성이 작습니다. 일반적으로 결핵 감염에 노출되더라도 강력한 면역 체계를 가진 사람들은 세균에 감염될 가능성이 작을 수 있습니다.
결핵은 영양 상태가 좋지 않거나 면역 체계가 약한 사람들에게 더 높은 위험을 가지며, HIV/AIDS와 같은 면역 저하 상태에서 감염 위험이 훨씬 더 커집니다. 따라서 결핵의 예방과 관리는 감염을 통제하고 퍼지는 것을 막기 위해 매우 중요합니다.

결핵(Tuberculosis, TB)의 치료는 항생제를 사용하여 감염을 통제하고 세균을 제거하는 것을 포함합니다. 효과적인 치료를 위해서는 약물을 정확한 일정에 맞춰 꾸준히 복용하는 것이 중요합니다. 일반적으로 결핵 치료는 두 단계로 나뉩니다: 초기 치료와 지속 치료.
1. 초기 치료 (약 2~3개월):
- 초기 치료 단계에서는 주로 4가지 항생제인 이손아미드(isoniazid), 라이파마이신(rifampin), 피라진아미드(pyrazinamide), 에탐부톨(ethambutol)을 복용합니다. 이러한 약물 조합은 세균을 신속하게 죽이고 감염을 통제하는 데 도움을 줍니다.
- 초기 치료 단계에서는 환자의 상태와 감염의 심각도에 따라 약물 조합이 조절될 수 있습니다.
2. 지속 치료 (약 4~7개월):
- 초기 치료 후에는 주로 이손아미드와 라이파마이신을 계속 복용하여 잔여 세균을 제거하고 재발을 예방합니다.
- 약물 복용 기간은 환자의 상태에 따라 다를 수 있습니다. 일반적으로 총 치료 기간은 6~9개월 정도가 될 수 있습니다.
치료 과정 동안 환자는 정해진 약물 복용 일정을 엄격히 지켜야 합니다. 치료를 일찍 중단하거나 누락할 경우 세균이 내성을 발달시키고 치료가 실패할 수 있습니다. 내성이 발달한 세균은 특정 약물에 반응하지 않을 수 있으며, 이는 치료를 어렵게 만들 수 있습니다.
또한, 치료 중에는 의료 전문가와의 꾸준한 모니터링이 중요합니다. 약물 복용 중에 부작용이나 의료 상황의 변화가 있을 수 있기 때문입니다. 환자의 상태를 모니터링하고 치료 계획을 조정하여 최적의 결과를 얻을 수 있도록 해야 합니다.
마지막으로, 결핵은 다른 사람들에게 전파될 수 있는 감염병이므로, 감염 환자는 치료받으면서 의료 전문가의 지시에 따라 다른 사람들과의 접촉을 최소화해야 합니다.
결핵 환자들은 영양 상태를 유지하고 면역 체계를 강화하기 위해 다양한 영양소가 풍부한 식품을 섭취해야 합니다. 아래는 결핵 환자들에게 좋은 음식과 영양소에 대한 몇 가지 예시입니다.
1. 단백질: 단백질은 면역 체계 강화와 조직 회복을 위해 중요합니다. 고기(특히 저지방 육류), 생선, 계란, 콩, 두부 및 견과류는 풍부한 단백질 공급원입니다.
2. 비타민 D: 비타민 D는 면역 체계를 지원하고 골격 건강을 촉진하는 데 도움이 됩니다. 해산물, 어육류, 우유 및 유제품은 비타민 D의 좋은 공급원입니다. 또한 태양 빛에 노출되는 것도 비타민 D 생산에 도움이 됩니다.
3. 비타민 C: 비타민 C는 항산화 작용을 하며 면역 체계를 강화하는 데 도움을 줍니다. 과일(오렌지, 딸기, 키위 등)과 야채(브로콜리, 파프리카 등)는 풍부한 비타민 C의 원천입니다.
4. 아연: 아연은 면역 체계 활성화와 세포 성장을 지원합니다. 해산물, 가금류, 콩, 견과류 및 유제품은 아연의 좋은 공급원입니다.
5. 철분: 철분은 빈혈 예방과 에너지 생산을 돕는 중요한 미네랄입니다. 붉은 고기, 닭고기, 생선, 견과류 및 아이러니로 풍부한 채소는 철분을 함유하고 있습니다.
6. 복합 탄수화물: 식이섬유와 영양소가 풍부한 복합 탄수화물은 에너지를 안정적으로 공급하고 소화를 개선하는 데 도움을 줍니다. 곡물(예: 귀리, 현미), 과일, 야채, 콩 등이 이에 해당합니다.
7. 유산균과 발효식품: 장건강을 촉진하고 면역 체계를 지원하는 데 유용한 유산균을 함유하는 요거트, 김치, 발효된 된장 등의 발효식품을 섭취하는 것이 좋습니다.
8. 물: 수분 섭취는 각종 생체 활동과 면역 체계에 필수적입니다. 물, 허브차, 무가당 과일 주스 등을 마셔 수분을 충분히 섭취하세요.
결핵 환자의 식단은 환자의 상태, 의료 전문가의 조언 및 개인적인 선호도를 고려하여 구성되어야 합니다. 영양 상태를 유지하고 면역 체계를 강화하기 위해 다양한 식품군을 포함하는 균형 잡힌 식단을 유지하는 것이 중요합니다.
등 통증 원인 따로 있다? 의심 질환은
등 통증은 일상생활에서 많은 사람들이 경험하는 불편한 증상 중 하나로, 체형, 생활 습관, 업무 환경 등 다양한 요인에 의해 발생할 수 있습니다. 등은 우리 몸의 중심을 지탱하고, 다양한 동작
www.banilla.co.kr
| '처진 피부 올려주는' 울쎄라 레이저 효과 부작용 (61) | 2023.08.25 |
|---|---|
| 기분 아닌 과학! 마음 평온해지는 명상 효과 (119) | 2023.08.24 |
| 잠이 보약! 수면이 건강에 미치는 영향 (71) | 2023.08.24 |
| 범죄자 중 정신질환자 비율은 얼마나 될까요? (80) | 2023.08.24 |
| 하루에 물 8잔씩 꼭 마셔야 할까? (76) | 2023.08.24 |