
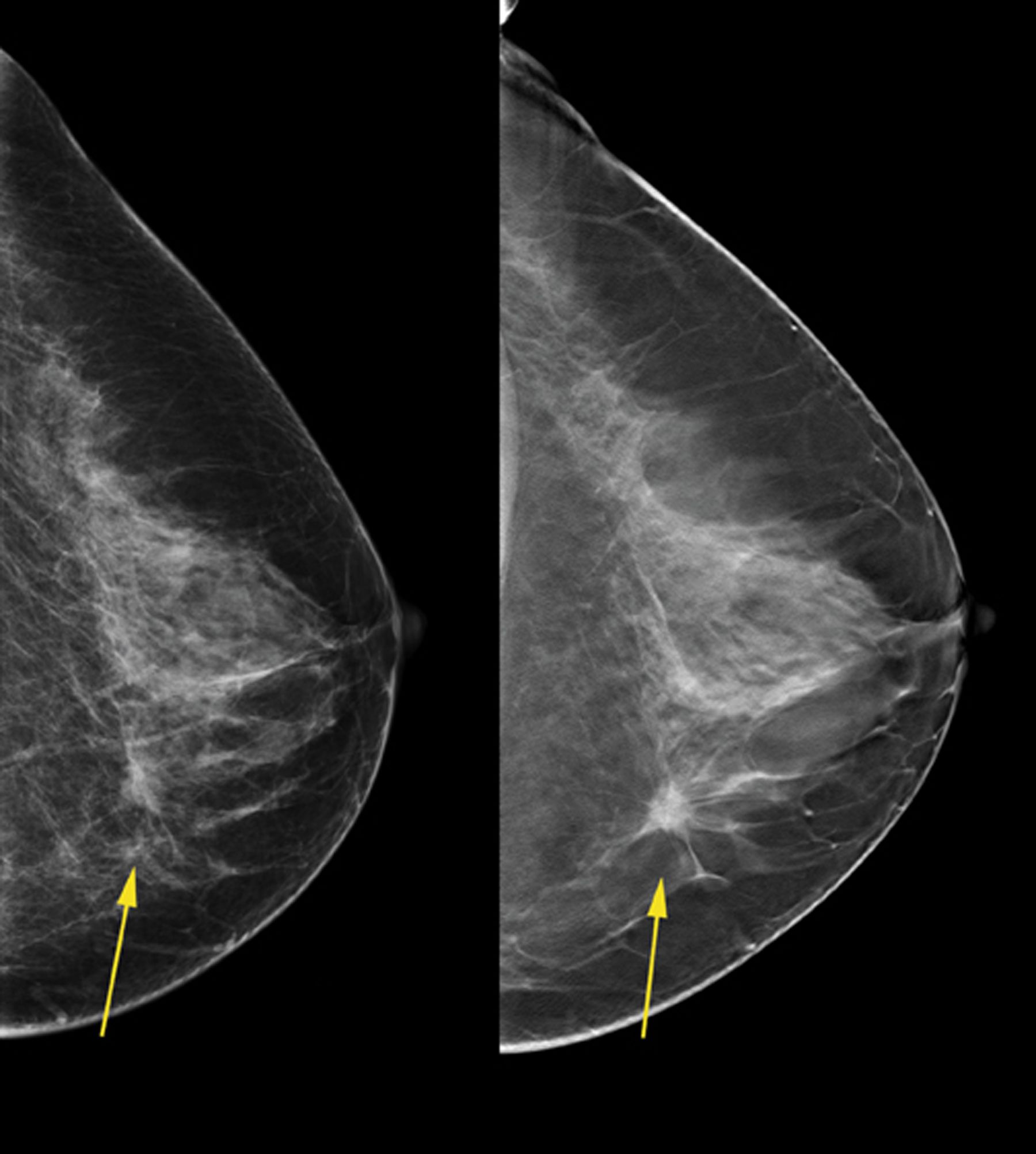
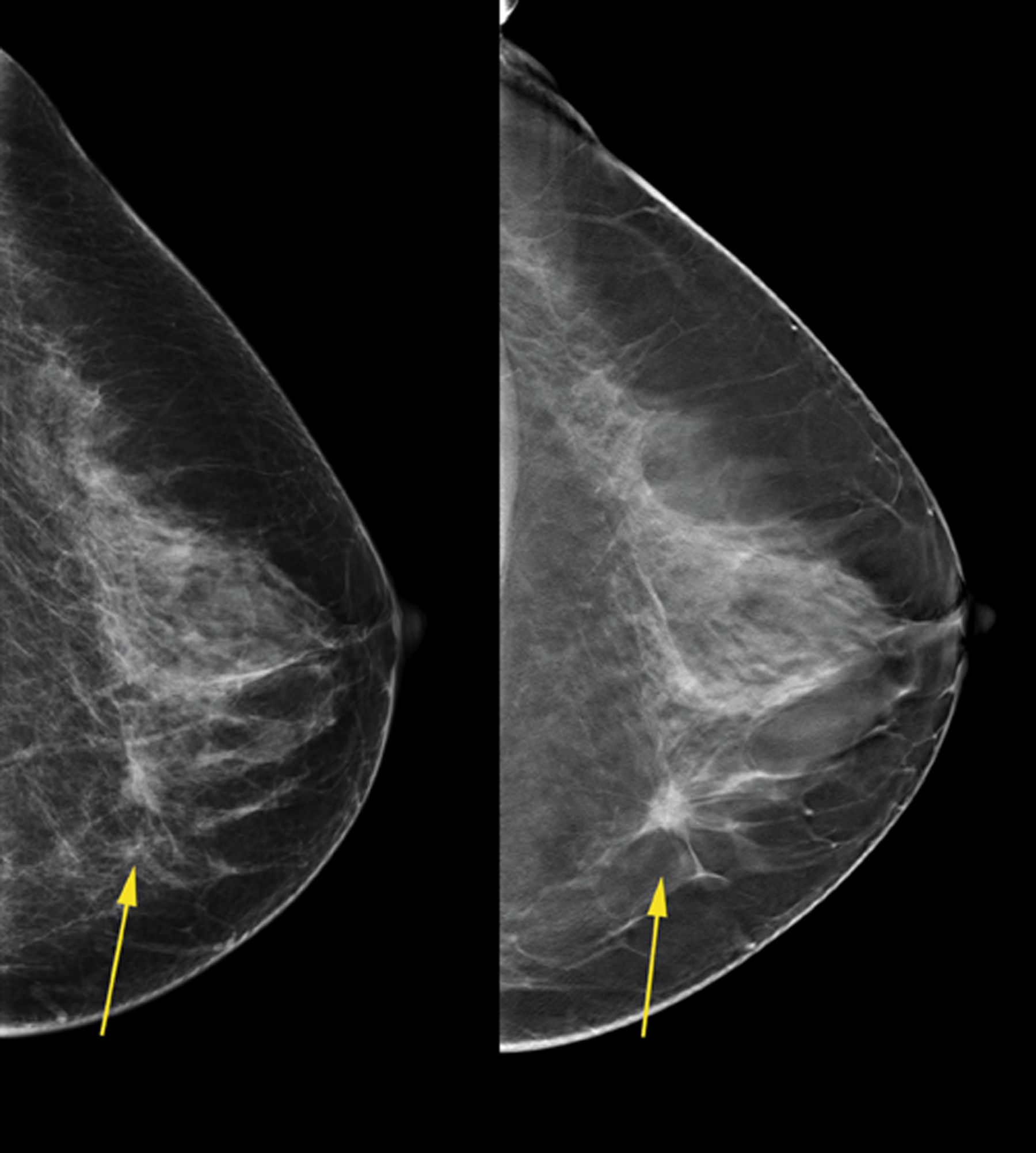
최근 AI가 유방암을 발견하는데 더 많은 성과를 내고 있다는 연구 결과가 나왔습니다. 유방암은 여성들 사이에서 암으로 인한 사망의 두 번째 주요 원인으로 꼽히고 있으며, 효과적인 검진과 조기 발견을 통해 생존율을 높일 수 있습니다.
하지만 아직도 유방조영술이 완벽하지 않다고 전문가들은 지적하고 있습니다. 선별 유방 촬영술은 전체 유방암의 약 20%를 놓치는 경우가 있습니다. 그러나 최근 《랜싯 종양학》에 발표된 연구에 따르면 AI의 도움을 받으면 지금보다 더 안전하고 효과적으로 유방암을 발견할 수 있다고 합니다.
이 연구에서는 스웨덴 여성 8만여 명을 대상으로 2021년 4월부터 2022년 7월까지 유방 촬영술을 조사했습니다. AI와 함께 영상의학과 전문의가 사진을 판독한 그룹에서는 AI의 도움 없이 영상의학과 전문의가 판독한 그룹보다 약 20%나 더 많은 암이 발견되었습니다. AI와 함께 판독한 그룹의 암 발견율은 1000명당 6명이었던 반면, 전문의들만 판독한 그룹에서는 1000명당 5명이었습니다.

이 연구 결과로 보아 AI가 유방암 발견에 있어서 의사들의 능률을 높여줄 수 있을 것으로 기대됩니다. 유방암의 복잡한 패턴을 감지하는 것은 전문 교육이 필요하며 어려운 일입니다. 하지만 AI는 이미지를 분석하고 다양한 자료를 학습하여 더 정확한 예측을 내릴 수 있습니다. AI와 함께 사용함으로써 방사선 전문의들의 판독 작업량이 감소하게 되어 더욱 효율적인 검진이 가능해질 수 있습니다.
AI의 가장 큰 잠재력은 과도한 판독량으로 인해 방사선 전문의들의 부담을 줄일 수 있는 점입니다. AI를 도구로 활용하여 더 정확하고 신속한 유방암 검진을 제공함으로써 환자들의 생존 가능성을 높일 수 있을 것입니다.
전문가들은 AI의 도입으로 유방암 조기 발견과 치료에 새로운 기회가 열릴 것으로 기대하고 있습니다. AI의 지속적인 연구와 발전을 통해 더욱 정확하고 효과적인 유방암 검진이 가능해지길 바라봅니다. 이러한 혁신적인 기술과 의학의 접목으로 더 많은 환자가 유방암과의 전쟁에서 승리하리라 믿습니다.
| '남자를 위한' 블랙마카 효능 효과 부작용 (5) | 2023.08.03 |
|---|---|
| 갑자기 귀 아픈데 중이염? 중이염 증상 원인 치료방법 (9) | 2023.08.03 |
| 기침하는 이유 기침 멈추는 방법은? (4) | 2023.08.03 |
| 키위는 어디에 좋아요? 키위 효능 효과 보관 방법 (5) | 2023.08.03 |
| 망고는 어디에 좋나요? 망고 효능 효과 보관 방법 (9) | 2023.08.03 |