
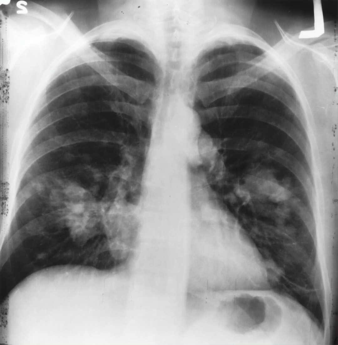
폐암은 전 세계적으로 가장 흔한 암 유형의 하나로, 그 심각성과 높은 발병률로 인해 많은 사람들에게 영향을 미치고 있습니다. 폐암은 폐에서 시작되는 악성 종양으로, 조기에 발견되지 않으면 치명적일 수 있습니다. 폐암은 흡연, 환경적인 요인, 유전적인 요소 등 다양한 원인에 의해 발생할 수 있으며, 주로 폐 조직에서 암세포의 비정상적인 성장과 전이가 일어납니다.
폐암은 초기 단계에서는 특별한 증상이 없을 수 있어 진단이 어려운 경우가 많습니다. 그러나 진행됨에 따라 기침, 호흡 곤란, 가슴 통증 등의 증상이 나타날 수 있으며, 이러한 증상은 환자와 주변 사람들에게 큰 고통을 안겨줍니다.
폐암의 치료는 다양한 접근법으로 이루어지며, 이는 수술, 방사선 치료, 화학요법, 표적요법, 면역요법 등을 포함합니다. 개별적인 환자의 상황과 암의 특성에 따라 적절한 치료 계획이 수립되어야 합니다.
이 글에서는 폐암에 대한 이해를 높이고, 초기 증상부터 치료 방법에 이르기까지 다양한 측면을 다루어보고자 합니다. 폐암은 치료 가능성과 생존율이 발전하고 있으며, 조기 발견과 적절한 치료를 통해 예방하고 통제할 수 있는 암입니다.

폐암은 초기 단계에서는 특별한 증상이 없을 수 있으며, 진단이 어려울 수 있습니다. 그러나 일부 사람들은 폐암 초기증상을 경험할 수 있으며, 다음과 같은 증상이 나타날 수 있습니다:
1. 만성 기침: 만성적이고 지속적인 기침은 폐암의 초기증상 중 하나입니다. 기침은 가래가 딸릴 수 있고, 기침이 지속되거나 악화되는 경우 의사를 방문해야 할 수 있습니다.
2. 호흡 곤란: 호흡 곤란은 폐암의 초기증상 중 하나일 수 있습니다. 숨이 차거나 숨을 쉬는 데 어려움을 겪을 수 있습니다. 이는 종양이 폐의 공기 흐름을 차단하거나 폐 기능을 감소시킬 때 발생합니다.
3. 가슴 통증: 가슴 통증은 폐암의 초기증상 중 하나입니다. 통증은 가슴 내부에서 느껴지며, 흉곽, 등, 어깨에 불편함을 유발할 수 있습니다.
4. 피로감: 폐암 초기에는 지속적인 피로감이 나타날 수 있습니다. 신체적인 활동이나 일상적인 활동에 대한 피로감이 더 빠르게 나타날 수 있습니다.
5. 체중 감소: 폐암 초기에는 체중 감소가 나타날 수 있습니다. 알려지지 않은 이유로 체중이 감소하는 경우 의사와 상담하는 것이 중요합니다.
6. 기타 증상: 폐암 초기증상으로는 객혈 섞인 가래, 반복적인 호흡기 감염, 성대 변화 등이 나타날 수 있습니다.
폐암 초기증상은 다른 질환과도 관련될 수 있으므로, 이러한 증상이 나타나는 경우 의사를 방문하여 정확한 진단을 받아야 합니다. 폐암은 조기 발견이 중요하므로, 증상이 나타날 경우 가능한 빨리 의료 전문가와 상담하는 것이 좋습니다.

폐암은 다양한 요인들의 복합적인 영향으로 발생할 수 있습니다. 주요 원인은 다음과 같습니다:
1. 흡연: 흡연은 폐암의 가장 주요한 원인으로 알려져 있습니다. 담배 연기에는 수많은 유해한 화학물질이 포함되어 있으며, 장기간 흡연은 폐 조직에 손상을 줄 수 있습니다. 흡연자는 비흡연자에 비해 폐암 발생 위험이 훨씬 높습니다.
2. 환경적인 공기 오염: 환경적인 공기 오염 요소들, 특히 대기 중의 미세먼지, 산성비, 공장 배출물 등은 폐암 발생 위험을 증가시킬 수 있습니다. 오랜 기간 동안 이러한 오염 물질에 노출되는 사람들은 폐암의 위험이 높아질 수 있습니다.
3. 직업적인 노출: 일부 직업은 폐암 발생 위험을 증가시킬 수 있습니다. 석면, 방사선, 비산업용 석탄, 코크스 오븐, 아스베스트 등과 같은 유해 물질에 오랜 기간 노출되는 직업 환경에서 일하는 사람들은 폐암의 위험이 더 높습니다.
4. 유전적 요인: 일부 경우에는 유전적인 변이 또는 가족력이 폐암 발생과 연관될 수 있습니다. 특정 유전자 변이는 폐암 발생 위험을 증가시킬 수 있으며, 가족 중에서 폐암을 앓은 사람이 있으면 개인의 폐암 위험도가 상승할 수 있습니다.
5. 기타 요인: 기타 요인으로는 폐부종증, 만성 폐질환(폐결핵, 폐섬유증 등), 방사선 치료, 항암 약물 등이 있습니다. 이러한 요인들은 폐암 발생 가능성을 증가시킬 수 있습니다.
폐암의 원인은 복잡하며 다양한 요인들이 상호작용하여 발생할 수 있습니다. 그러나 흡연은 폐암 발생 위험에 가장 큰 영향을 미치는 주요한 원인으로 알려져 있으므로, 흡연을 피하는 것이 폐암 예방에 중요합니다.

폐암의 치료법은 여러 가지 방법을 조합하여 개별적인 환자의 상황에 맞게 결정됩니다. 폐암의 치료법에는 다음과 같은 주요 접근 방법이 포함될 수 있습니다:
1. 수술 (Surgery): 초기 단계의 폐암인 경우, 종양이나 그 주변 조직을 완전히 제거하기 위해 수술이 수행될 수 있습니다. 이는 외과적 절제로 암 조직의 제거와 함께 림프절 제거도 포함될 수 있습니다.
2. 방사선 치료 (Radiation Therapy): 방사선 치료는 고에너지 X선을 사용하여 암 조직을 파괴하는 치료입니다. 폐암의 특정 부위에 집중된 방사선을 조사하여 종양을 제거하거나 크기를 줄이는 데 사용될 수 있습니다. 방사선 치료는 수술 전 또는 후에 보조적으로 사용되기도 합니다.
3. 화학요법 (Chemotherapy): 화학요법은 항암 약물을 사용하여 암 세포를 파괴하는 치료입니다. 폐암의 경우, 주로 항암 약물을 정맥 주사 또는 경구로 투여하여 전신적으로 작용하는 방식으로 사용됩니다. 화학요법은 수술 전 또는 후에 주로 종양을 축소시키는 데 사용되기도 합니다.
4. 표적요법 (Targeted Therapy): 표적요법은 암 세포 내부에 특정한 단백질이나 신호 경로를 표적으로 공격하는 치료법입니다. 폐암의 특정 유전자 변이나 단백질 과잉 발현에 대상을 맞춘 약물을 사용하여 암 세포를 효과적으로 억제할 수 있습니다.
5. 면역요법 (Immunotherapy): 면역요법은 환자의 면역 시스템을 강화하여 암 세포를 공격하는 치료법입니다. 특히, 체크포인트 억제제나 CAR-T 세포 치료 등의 방법이 사용될 수 있습니다.
6. 대체요법 (Palliative Care): 상황에 따라, 폐암이 치료되지 않거나 완치가 불가능한 경우, 증상 완화 및 삶의 질 개선을 위해 대체요법이 사용될 수 있습니다. 이는 통증 관리, 호흡 지원, 정서적 지원 등을 포함합니다.
폐암의 치료 방법은 암의 단계, 종류, 환자의 건강 상태 등 여러 요인에 따라 결정됩니다. 폐암 치료에 대한 결정은 종양학적 평가와 의료 전문가들과의 상담을 통해 개별적으로 이루어져야 합니다.
우울증약의 부작용과 대처 방법
우울증약은 우울증을 치료하기 위해 사용되는 약물입니다. 그러나 우울증약은 일부 사용자들에게 부작용을 일으킬 수 있습니다. 우울증약의 일반적인 부작용에 대해 알아보고, 부작용을 이해
www.banilla.co.kr
| 종합비타민 효능 효과 복용법 부작용 (8) | 2023.07.14 |
|---|---|
| 아스파탐 함유제품은? 아스파탐 하루 권장량은? (4) | 2023.07.14 |
| 카테킨 효능 효과 부작용 복용법: 녹차의 효능 효과 (2) | 2023.07.14 |
| 이갈이 원인과 치료: 이갈이 예방 방법 (3) | 2023.07.13 |
| 심근경색 전조증상에 대해 알아보자 (6) | 2023.07.13 |